特種鋼制螺栓故障金相分析
M16×40的圓頭方頸螺栓, 35K鋼制作,性能等級8.8級, 表面鍍鋅。該批螺栓脫碳試驗不符合《ISO898.1-1999》標準規定,進行脫碳原因分析。
16.6.1 試驗過程與結果
該批螺栓主要加工工藝:原材料、頭部冷鐓、退火、滾螺紋、熱處理、表面處理。
取故障件和同批退火后未滾螺紋的半成品件各1件進行檢測,通過對比試驗,找出脫碳原因,試驗件的宏觀形貌,見圖16-34。
圖16-34同批半成品件和成品故障件
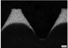
把故障件縱向制成金相試樣,對螺紋部分進行脫碳層深度檢測,檢測結果:螺紋中徑位置全脫碳層深度為0.069~0.076mm牙頂位置全脫碳層深度0.52~0.58 mm,脫碳層組織如圖16-35。
圖16-35 成品零件螺紋脫碳層組織
16.6.2 驗證試驗檢測
取該批的成品零件與半成品零件進行調質熱處理前后的脫碳層深度試驗檢測。
經調質熱處理后的成品零件:頭下圓角處的脫碳層深度為0.13~0.14 mm ;頭下方頸部位脫碳層深度為0.31~0.36 mm。
沒有調質熱處理的半成品零件:頭下圓角處的脫碳層深度為0.12~0.13 mm ;頭下方頸部位脫碳層深度為0.30~0.34 mm。
圖16-36 成品調質后圓角處脫碳層
圖 16-37 半成品調質前圓角處脫碳層
檢測結果說明該批產品經調質熱處理后脫碳層深度沒有明顯增加,在頭下圓角處的脫碳層深度增加了約0.01 mm,如圖16-36。圖16-37;頭下方頸部位脫碳層深度增加了0.01~0.02 mm ,如圖16-38。圖16-39。
圖16-38 成品調質后方頸處脫碳層 圖16-39 半成品調質前方頸處脫碳層
16.6.3 分析與討論
在GB/T 5953緊固件標準中規定,螺栓原材料脫碳層的最大深度不允許超過0.15D。
在GB3098.1緊固件標準中規定,螺栓全脫碳層的最大深度不允許超過0.15 mm。
該批圓頭方頸螺栓退火后的半成品件,桿部方頸處脫碳層平均深度達到0.32mm,已超過《GB/T 5953》標準規定的最大深度不允許超過0.15D(即0.24mm)的要求。
該批成品零件與半成品零件調質熱處理前后的脫碳層基本上為全脫碳層,其深度均已超過了GB3098.1標準規定的全脫碳層最大深度為0.15 mm的要求。
該批故障螺栓的螺紋脫碳層檢查發現,脫碳層基本上分布在螺紋牙頂,中徑與牙底位置的脫碳層很少。由于該批螺栓的調質是在螺紋滾壓后進行的,如果原材料無脫碳,調質時產生的脫碳對螺紋來說,各部位基本上都是差不多的,而該批螺紋脫碳層檢查結果說明脫碳主要是原材料帶來,產品調質后的脫碳稍有一點增加。
已調質螺栓脫碳層檢查結果與半成品樣(未調質熱處理)的脫碳層檢查結果差不多,表明螺栓的脫碳層不是調質熱處理時產生,調質前已存在,調質時脫碳層稍有點增加。
引起圓頭方頸螺栓脫碳試驗不合格的原因是原材料的脫碳層深度超標
16.6.4 結論與啟示
(1)由于該批螺栓的原材料脫碳層深度超標造成螺栓脫碳檢查不合格。
(1)增加螺栓投產前的原材料脫碳檢查,防止脫碳層超標的原材料投產。
(3)如果原材料存在脫碳,檢查沒有超標,但投產時需要考慮調質熱處理的影響,防止因調質熱處理時產生脫碳而使總脫碳層超標。






浙公網安備 33042402000106號 a>

