汽車底座六角頭螺栓失效分析
某發動機底座六角頭螺栓,強度為12.9級,規格為M12×30,材料為40Cr鋼,螺栓表面發黑處理; 螺栓安裝后在第二天就發生了斷裂。
(1)宏觀檢查
六角頭螺栓斷裂件,宏觀形貌見圖12-25。
螺栓斷裂位置為螺紋部分,斷口平直,斷面結構粗糙,斷口附近無宏觀塑性變形,整個斷面呈深灰色,其上可見多個銀白色亮區,見圖12-26。
圖12-25 斷裂螺栓宏觀形貌

圖12-26 斷口宏觀形貌
(2)微觀分析
在掃描電鏡下觀察斷口形貌,裂源區微觀形貌均為冰糖狀沿晶斷裂,晶面上存在大量的雞爪形撕裂棱,見圖12-27;
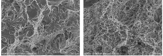
擴展區形貌主要為沿晶和韌窩混合形貌,見圖12-28;
部分區域存在準解理斷裂形貌,見圖12-29;
最后斷裂區微觀形貌為剪切韌窩,見圖12-30。

圖12-27 冰糖狀沿晶斷裂形貌 圖12-28 沿晶和韌窩混合形貌

圖12-29 準解理斷裂形貌 圖12-30 剪切韌窩形貌
(3)金相分析
沿螺栓中心線縱向截取試樣,制成金相試樣,在顯微鏡鏡下觀察螺栓和螺紋的組織。
螺栓的顯微組織為均勻的回火索氏體組織,見圖12-31a;
螺栓表面有0.1mm深的滲碳層,見圖12-31b;
螺紋根部有一條小裂紋,見圖12-31c;
2.4硬度測試

a.回火索氏體組織 b.螺紋滲碳層 c.螺紋根部裂紋
圖12-31(a、b、c) 金相組織
(4)化學成分分析
利用直讀光譜對螺栓的化學成分進行分析,螺栓化學成分檢測結果符合40Cr鋼技術要求。
(5)硬度測試
按《GB/T3098.1-2000》標準對螺栓進行螺紋根部硬度梯度測試、表面硬度和心部硬度測試結果,螺紋根部有0.14mm滲碳層,表面硬度不符合要求,螺栓心部硬度雖符合要求,但是總體水平接近硬度上限,有個別點超過硬度上限。
硬度檢測結果示意圖就12-33。

圖12-33 硬度檢測結果示意圖
(6)氫含量檢查
對斷裂件進行氫含量檢查, 螺栓氫含量檢測結果為9.10ppm。
螺栓的化學成分、金相組織、心部硬度等符合螺栓的技術要求,其中表面有0.14mm滲碳層,使表面硬度偏高,而且在螺紋牙底的滲碳層上有小裂紋。
螺栓氫含量檢測結果偏高,說明螺栓在表面處理過程中有滲氫,而且除氫不充分。
螺栓斷口形貌掃描電鏡分析結果,螺栓斷口為典型的氫脆斷口,主要原因是螺栓氫含量偏高,在安裝應力作用下發生氫致延遲斷裂。
氫脆斷裂是機械產品失效機理中比較常見的一種,它是由于氫滲入金屬內部導致損傷,從而使金屬零件在低于材料屈服極限的靜應力作用下導致的失效。氫脆一般分為三類,即氫致塑性損失、氫誘發裂紋(或不可逆氫損傷)和應力誘發氫致滯后斷裂。本文所分析的斷裂螺栓是屬于第三種,應力誘發氫致滯后斷裂屬于低應力脆斷。它與氫的擴散和凝聚有關,無前兆,具有突發性。因此氫脆斷裂具有極大的破壞性。
產生氫脆斷裂的情況:
( 1) 氫的滲入。只有氫滲入金屬材料基體才能導致氫脆。 滲入金屬材料中的氫有以下三個來源:鋼在冶煉、焊接及熱處理過程中滲入;在電鍍、酸洗及放氫型腐蝕環境下滲入;在使用環境下滲入(如將金屬材料置于高溫氫氣氛中) 。
( 2) 在拉應力作用下發生氫脆。滲入金屬的氫在濃度梯度作用下擴散而占據晶體點陣中的孔隙、晶界、空穴、位錯、沉淀相及夾雜物與基體的界面、氣孔等缺陷。在拉應力作用下,氫會產生向缺口根部、微裂紋尖端等局部應力集中區域擴散,形成氫的高度偏聚,并在這些部位產生氫脆斷裂。
該螺栓表面硬度約為518HV,心部硬度也有430HV,表明螺栓強度高,說明該螺栓對氫脆很敏感。
螺栓斷口宏觀存在光亮區,微觀存在雞爪痕形貌,螺紋根部的沿晶裂紋,不分叉,這些都是氫脆的典型特征。螺栓在安裝后受拉應力作用,螺紋根部存在應力集中,氫向螺紋根部擴散并聚集,最終使螺栓在此處產生氫脆裂紋而發生斷裂。
根據以上分析,可以得出如下結論與啟示:
(1) 螺栓斷裂為氫致延遲斷裂
(2) 螺栓氫致延遲斷裂的主要原因是螺栓氫含量偏高,在安裝應力作用下發生氫致延遲斷裂。
(3) 12.9級螺栓表面發黑處理,解決了電鍍滲氫的問題,但是,在加工過程中還要控制酸洗等工序,防止螺栓滲氫。






浙公網安備 33042402000106號 a>

