挖掘機履帶鋼螺栓失效原因分析
12.9級六角頭螺栓,規格為M14×1.25×45,材質為SCM435,經調質后直接利用余溫發黑。
該螺栓用于固定某型號挖掘機履帶,安裝扭矩為280N.m,裝配后放置于室外。在整機交付給客戶時發現該螺栓發生了斷裂,具體斷裂時間不能確定。取故障件2件,同批完好產品2件進行斷裂分析。
試驗過程與結果
故障件于頭部與桿部斷裂,斷裂部配合良好,頭部涂有灰色油漆,如圖14-60所示。
圖14-60 故障件形貌
故障件斷裂發生在螺栓頭下圓角位置,斷裂殘件頭部與桿部配合良好。頭部斷口成碗口狀向內凹陷,表面較光滑,斷口附近無擦傷和塑性變形,如圖14-61所示。
桿部斷口表面平齊無明顯塑性變形,表面銹蝕嚴重,外側圓角邊緣表面光滑,顏色較深為斷口起裂位置,見圖14-62。
圖14-61 頭部斷口宏觀形貌 圖14-62 桿部斷口宏觀形貌
掃描電鏡對斷口微觀檢查,在掃描電鏡下觀察斷口的微觀形貌:
裂紋起源處微觀形貌,晶粒沿晶界分離呈冰糖狀,晶粒輪廓鮮明,有二次裂紋存在,無明顯夾雜,由于斷口銹蝕的原因,晶面細節已難以分辨,見圖14-63。
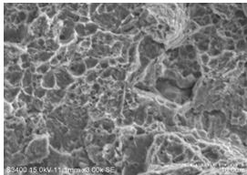
斷口中心區域表面形貌,可見表面有大量撕裂楞存在,具有穿晶準解離斷裂特征,見圖14-64。
裂紋終斷處微觀形貌,為大小均勻的等軸韌窩形貌,見圖14-65
將斷裂試樣縱向切開制成金相試樣,掃描電鏡和顯微鏡觀察,發現斷口附近螺栓表面與心部組織一致,未發現滲碳或脫碳跡象。但裂紋源附近表面有較多折疊,折疊從表面與螺栓軸向呈一定角度向內部延伸,折疊表面開口較寬但底部不尖銳,邊緣組織未見異常,經能譜分析顯示折疊兩側有氧化皮,如圖14-66所示。
圖14-63裂紋起源處微觀形貌 圖14-64裂紋中心區域微觀形貌
圖14-65裂紋終斷處微觀形貌
圖14-66 斷裂試樣表面缺陷
批件檢查,取同批件后先目視檢查,發現螺栓外表面沿軸線方向存在有疤痕、折疊缺陷,如圖14-67所示。
從螺栓條痕缺陷處縱向切開制成金相試樣,掃描電鏡和顯微鏡觀察, 在疤痕、折疊缺陷上發現有裂紋,其深度接近0.4mm,如圖14-68所示。
圖14-67 同批螺栓表面缺陷 圖14-68 同批螺栓表面缺陷
頭部圓角尺寸檢測,取同批螺栓沿螺栓中軸線切開,檢測螺栓頭部圓角尺寸,發現圓角過度不均勻,部分位置圓角半徑不到0.5mm,小于廠家設計的最小值0.6mm,見圖14-69。
圖14-69 同批螺栓頭下圓角半徑
斷裂件金相組織為回火索氏體。
對螺栓的化學成分進行分析,分析結果,符合《JIS G4053-2003》標準對SCM435鋼的要求。
對斷裂件硬度檢測,從試樣裂紋源附近表面和心部進行硬度檢測,檢測結果,表面和心部硬度值為395~405 HV0.3,
分析與討論
該批螺栓材料、組織、硬度符合技術要求,螺栓斷裂與材料、組織、硬度無關。
螺栓頭桿連接處的圓角半徑R小,與螺栓成型工藝不當有關。
斷裂螺栓在裂紋源附近表面有較多條痕、折疊缺陷,折疊從表面與螺栓軸向呈一定角度向內部延伸,折疊兩側有氧化皮,。
同批件檢查,螺栓的外表面存在有疤痕、條痕缺陷, 在疤痕、折疊缺陷上發現有0.4mm深度的裂紋。
斷裂件頭桿連接處應力集中,應力集中區表面存在折疊缺陷,頭桿連接處的R過小,在安裝拉應力作用下,折疊擴展最后斷裂。
該螺栓為高強度螺栓,安裝應力大,安裝后螺栓受拉應力和扭轉應力作用, 螺栓頭桿連接處為應力集中的地方,表面存在較多的缺陷和橫向小裂紋,在安裝應力作用下, 裂紋不斷擴展,使螺栓在頭桿連接處應力斷裂。
結論與啟示
(1)由于螺栓成型工藝不當,使螺栓頭桿連接處的R小,造成應力集中;螺栓頭桿連接處表面存在橫向折疊缺陷,在安裝應力作用下折疊缺陷不斷擴展,最后應力斷裂。
(2)該批螺栓頭桿連接處表面都存在較多缺陷,建議不要使用;已使用的應馬上更換。
(3) 螺栓采用合適的成型工藝,防止螺栓頭桿處的圓角半徑R過小,還要防止螺栓頭桿處因變形不當,表面產生缺陷。





浙公網安備 33042402000106號 a>

