特種螺釘螺紋全脫碳與半脫碳金相分析
螺釘螺紋的脫碳與半脫碳組織,與熱處理淬火工藝保護氛圍之間有哪些聯系,其金相性質又有哪些表現形式呢?
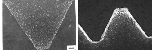
螺釘熱處理淬火加熱時保護氣氛控制不好,造成螺釘表面及螺紋脫碳,金相檢查螺釘螺紋表面,發現螺紋表面為半脫碳組織,見圖8-19。
35CrMo 螺栓螺紋全脫碳和半脫碳組織
螺栓熱處理淬火加熱時保護氣氛控制不好,造成螺栓表面及螺紋脫碳,金相檢查螺栓螺紋表面,螺栓螺紋表面脫碳,其中螺紋處的脫碳為全脫碳和半脫碳,見圖8-20。
圖8-19 螺栓螺紋表面半脫碳組織 圖8-20螺紋處的全脫碳+半脫碳組織50×
下一篇:鋁合金鉚釘熱處理工藝失效金相分析
上一篇:特種鋼螺桿全部脫碳組織金相分析





浙公網安備 33042402000106號 a>

